반응형
구내염 치료에 병원보다 효과 좋았던 영양제 5가지, 복용 후기와 성분별 장단점까지 정리했습니다.
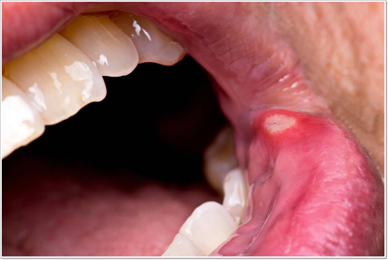
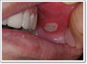
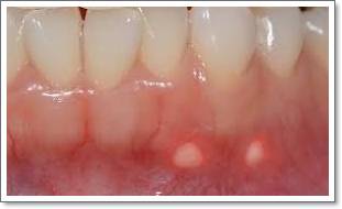
구내염은 한 번 생기면 음식 먹기도, 말하기도 고통스럽고, 제대로 치료하지 않으면 재발까지 반복되는 성가신 질환입니다.
많은 분들이 병원을 찾아 항생제나 스테로이드 연고를 처방받지만, 실제로 ‘영양 불균형’이 주된 원인이라는 연구도 적지 않습니다.
이 글에서는 병원 치료보다도 지속적이고 근본적인 해결이 가능했던 영양제 TOP5를 복용 후기와 과학적 근거를 토대로 정리합니다.
1. 왜 병원 치료보다 영양제가 더 나은 경우가 있을까?
- 구내염의 주된 원인 중 하나는 비타민 B군, 아연, 철분, 엽산 등의 부족입니다.
- 병원 치료는 ‘증상 완화’ 중심이지만, 영양제는 근본 원인을 해소하는 접근입니다.
- 특히 반복성 구내염(RAS)은 영양 결핍과 깊은 연관이 있어, 꾸준한 영양 보충이 재발 방지에 더 효과적이라는 연구 결과도 있습니다


2. 병원보다 효과 좋았던 영양제 BEST 5
2-1. 비타민 B 복합제 (B12, B2, 엽산 포함)
- 복용 후기 요약: 1~2주 복용 후 구내염 재발 빈도 절반 이하로 감소.
- 과학적 근거:
- B12 결핍 시 점막 재생 능력 저하 → 반복성 구내염 발생.
- 정상 수치에서도 추가 섭취 시 치료 효과 있음 (96% 환자 호전).
- 추천 제품 유형: B1·B2·B6·B12가 고루 포함된 복합제.
2-2. 아연 보충제 (Zinc L‑Carnosine)
- 복용 후기 요약: 한 달 이상 복용 시 구내염 크기 감소, 통증 완화.
- 과학적 근거:
- 점막 재생을 돕는 대표 성분.
- 일본에서는 위염 치료제 ‘폴라프레징크’로 사용됨.
- 주의사항: 과다 복용 시 메스꺼움, 장기 복용 시 구리 결핍 우려.
2-3. 비타민 C (고용량)
- 복용 후기 요약: 1일 1,000mg 이상 섭취 시 치유 기간 2~3일 단축.
- 과학적 근거:
- 항산화 작용 → 손상된 구강 점막 회복 촉진.
- 감염 억제 및 면역 강화 효과도 동반.
- 복용 팁: 하루 2~3회로 나눠 섭취하면 흡수율↑, 위 부담↓
2-4. 철분 + 엽산 복합제
- 복용 후기 요약: 빈혈 동반 구내염 환자에게 특히 효과적.
- 과학적 근거:
- 철결핍성 빈혈 환자에서 구내염 발생률 현저히 높음.
- 여성이나 채식주의자에게 추천.
- 추천 대상: 자주 피로하고 입안에 염증 잘 생기는 분.
2-5. 리코리스(Licorice) 구강패치
- 복용 후기 요약: 패치형 제품 사용 후 통증 줄고, 식사 가능 시간 단축.
- 과학적 근거:
- 항염·항바이러스 효과 있는 글리시리진산 함유.
- NIH 지원 임상에서 치유 시간 30% 단축 결과.
- 장점: 부착형으로 간편, 국소 작용으로 빠른 진정 효과.


3. 복용 조합 예시 (실제 후기 기반)
| 증상 | 추천 조합 | 후기 |
| 반복성 구내염 | 비타민 B 복합제 + 아연 | 2주 복용 후 재발 없음 |
| 스트레스성 + 면역 저하 | 비타민 C + 리코리스 패치 | 체력 회복 + 빠른 진정 |
| 철분 부족 의심 | 철분+엽산 복합제 + B12 | 피로감 ↓ 구내염 완화 |
4. 구내염 치료 시 주의할 생활 습관
- SLS-free 치약 사용: 일반 치약의 계면활성제(SLS)는 자극 가능성 있음
- 매운 음식, 술, 커피는 회복 지연
- 스트레스와 수면 부족도 면역 저하로 구내염 원인
- 구내염 부위 건드리지 않기, 패치나 가글로 보호


5. 결론: 병원 약보다 영양제 효과 본 진짜 이유
단기적으로는 병원 치료가 빠를 수 있지만, 지속적 구내염을 겪는다면 ‘영양 상태 점검’이 필수입니다.
비타민 B, 아연, 철분, 엽산 등은 모두 입안 점막과 면역 시스템에 직접 작용하는 필수 영양소입니다.
영양제는 단순 보조제가 아니라, 구내염을 뿌리부터 해결하는 치료 수단이 될 수 있습니다.
복용 전에는 반드시 전문가 상담과 혈액검사를 통한 영양 상태 체크를 추천드립니다.


반응형
