
목 안쪽에서 은근히 불쾌한 냄새가 나거나, 침 삼킬 때 뭔가 걸리는 느낌이 있다면 편도결석일 가능성이 높습니다.
이 결석은 단순히 ‘목에 낀 찌꺼기’가 아니라, 편도에 있는 작은 홈에 음식물 잔여물·세균·각질 등이 뭉쳐 굳어진 덩어리입니다.
대부분 무해하지만, 심하면 구취·염증·통증을 유발할 수 있어 조기 확인이 중요합니다.
이번 글에서는 누구나 집에서 스스로 확인할 수 있는 편도결석 자가진단 체크리스트를 만들고, 예방 및 관리법까지 정리해 드리겠습니다.
📌 왜 자가진단이 필요할까?
편도결석은 거울로 봐도 잘 보이지 않는 경우가 많습니다. 크기가 작거나 편도 깊숙이 자리잡으면 의식하지 못한 채 장기간 방치되는 경우도 흔합니다.
특히 병원에 갈 정도로 심하지 않다고 생각해 미루다 보면, 결석이 커지고 염증이 생겨 치료가 까다로워집니다.
자가진단을 통해 초기 단계에서 발견하면 간단한 생활 관리만으로도 해결이 가능해집니다.

✅ 편도결석 자가진단 체크리스트
아래 항목 중 3개 이상 해당된다면 편도결석 가능성을 의심해 보세요.

- 입 냄새가 잦다
- 양치질을 꼼꼼히 해도 몇 시간 지나면 다시 구취가 느껴진다.
- 목 이물감
- 침을 삼킬 때 작은 알갱이가 걸리는 듯한 느낌이 있다.
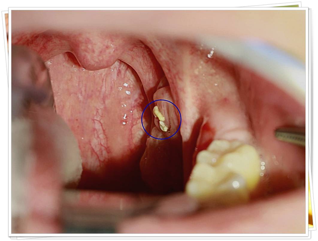
- 편도 부위의 흰색·노란색 알갱이
- 거울로 목 안쪽을 비춰봤을 때 작은 결석이 보인다.
- 한쪽 목구멍 통증
- 삼킬 때만 통증이 있거나, 특정 방향으로 고개를 돌릴 때 불편하다.
- 간헐적인 기침
- 특별히 감기가 없는데 목이 간질거려 기침이 난다.
- 목에서 특이한 냄새 덩어리 배출 경험
- 기침하거나 음식 먹다 작은 돌처럼 생긴 알갱이가 나온 적이 있다.
🔍 자가진단 시 주의할 점
- 손가락·비위생 도구로 직접 빼내려 하지 말 것 : 점막 손상·감염 위험
- 거울+손전등 활용 : 편도 위치와 색을 확인하기 쉽다
- 연속된 증상 여부 체크 : 하루만 나타났다가 사라지면 일시적인 염증일 수 있음
🛠 자가진단 후 대처 방법
자가진단 결과 결석이 의심된다면 다음과 같이 단계별로 대응하세요.
- 초기 단계 (작고 통증 없는 경우)
- 구강세정기나 미지근한 소금물 가글로 세척
- 하루 2~3회 양치+혀 클리너 사용
- 중간 단계 (이물감+약한 통증 동반)
- 가글·세정기 병행
- 수분 섭취 늘리고, 자극적인 음식 줄이기
- 심한 단계 (크거나 통증·염증 심함)
- 이비인후과 방문 후 전문 제거 및 약물 치료
💡 편도결석 예방 팁
- 충분한 수분 섭취 : 입 안 건조는 세균 번식에 최적 환경
- 취침 전 가글 : 야간 침 분비량 감소로 세균이 급증하는 시간대 대비
- 구강세정기 활용 : 편도 깊은 홈까지 세척 가능
- 유제품 섭취 후 세정 : 치즈·우유 성분이 결석 형성에 관여 가능
🧠마무리
편도결석은 재발이 흔해 단순 제거로 끝나지 않습니다. 정기적인 자가점검과 위생 관리가 핵심입니다.
실제로 많은 환자분들이 ‘몇 달 전부터 냄새가 났다’거나 ‘목에 뭔가 낀 느낌이 있었다’고 말씀하시지만,
초기에 체크했더라면 병원 치료 없이 생활습관 개선만으로 해결 가능했을 경우가 많습니다.
자가진단 체크리스트는 단순한 의심 도구이므로, 의학적 확진은 반드시 전문의 진료가 필요합니다.
다만 스스로 몸의 변화를 관찰하고 기록하는 습관은 재발 방지에 큰 도움이 됩니다.
요약
편도결석은 눈에 잘 띄지 않고 서서히 진행되는 경우가 많아, 조기 발견이 어렵습니다.
그러나 오늘 만든 자가진단 체크리스트를 활용하면, 스스로 경고 신호를 파악하고 빠르게 대응할 수 있습니다.
목과 구강 건강을 위해, 한 달에 한 번은 체크리스트로 스스로를 점검해 보세요.















