반응형
입안이 헐고 아픈 구내염, 영양제로 효과 본 해결법과 추천 성분을 실제 경험과 함께 소개합니다.
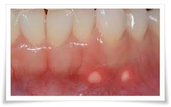
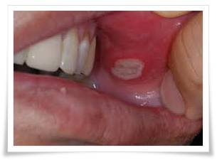
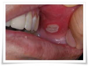
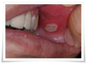
갑자기 입안이 따갑고 헐어 말하거나 밥 먹는 것도 힘들 정도라면, 대부분 구내염일 가능성이 높습니다.
이런 구내염이 자주 반복되거나 1주 이상 낫지 않으면 병원에 가기 전, ‘영양 상태’를 먼저 점검해야 합니다.
최근 많은 연구에서 비타민 B군, 아연, 철분 등의 부족이 구내염 주요 원인으로 지목되며,
실제로 영양제를 통한 관리로 구내염이 개선된 사례도 늘고 있습니다.
1. 왜 영양제로 구내염을 해결할 수 있을까?
구내염은 단순한 염증이 아니라 면역력 저하 + 점막 재생 능력 저하 + 영양 결핍이 겹쳐 생기는 경우가 많습니다.
특히 다음과 같은 성분이 부족할 경우 쉽게 입안이 헐거나 통증이 생깁니다:
- 비타민 B12, B2, 엽산: 점막 재생·면역 유지 필수
- 아연(Zinc): 조직 재생, 항염 효과
- 철분(Iron): 산소 공급과 세포 대사에 필요
- 비타민 C: 항산화 작용으로 염증 회복


2. 구내염 증상에 효과 본 영양제 TOP 4
① 비타민 B 복합제 (B1·B2·B6·B12 포함)
- 효과: 점막 재생 촉진 + 염증 완화 + 재발 억제
- 근거: 2010년 임상에서 비타민 B12 보충 시 구내염 완화율 96%
- 추천 대상: 자주 입이 헐고, 스트레스에 예민한 분
② 아연 보충제 (Zinc + L-Carnosine)
- 효과: 점막 회복 + 염증 억제 + 세포 재생
- 근거: 일본에서 위궤양·구강 궤양 치료제로 사용 (폴라프레징크)
- 주의: 과량 복용 시 구리 결핍 유발 가능
③ 철분 + 엽산 복합제
- 효과: 철분 부족 시 발생하는 구내염, 혓바늘 등에 효과적
- 추천 대상: 여성·빈혈 경험자·피로가 잦은 사람
④ 비타민 C 고함량
- 효과: 염증 완화, 면역력 증강
- 복용법: 하루 1,000~2,000mg, 식후 복용 권장
- 주의: 고용량은 위에 부담 줄 수 있음


3. 입안이 헐었을 때 실전 복용법 (1주 플랜)
| 구분 | 아침 | 점심 | 저녁 |
| 1~3일차 | 비타민 B 복합제 | 아연 | 비타민 C |
| 4~7일차 | 철분+엽산 | 비타민 B + 아연 | 비타민 C |
- 통증이 심할 땐 리코리스(Licorice) 성분 구강 패치 병행
- 자극적인 음식 피하고, 물 자주 마시기
4. 치료 후기 요약
- ✅ “비타민 B 꾸준히 먹고 나서 입병이 거의 안 생김”
- ✅ “병원 연고보다 아연 영양제가 더 잘 듣는 느낌”
- ✅ “철분제 먹으면서 혓바늘, 입안 상처 자주 나는 게 확 줄었어요”


5. 생활 속 예방법 + 함께 하면 좋은 습관
- SLS(계면활성제) 없는 치약 사용
- 가글은 무알콜 제품 사용
- 스트레스 관리: 수면, 규칙적 식사 중요
- 영양제는 최소 2주 이상 꾸준히 섭취해야 효과


6. 마무리 정리
입안이 헐고 아픈 구내염, 단순 염증약만으로는 반복되는 경우가 많습니다.
영양 불균형을 바로잡는 것만으로도 증상이 눈에 띄게 줄고,
회복 속도도 훨씬 빨라집니다.
특히 비타민 B 복합제 + 아연 + 철분 조합은
의외로 많은 사람들이 ‘병원보다 더 낫다’고 느낀 치료법입니다.
지금 입안이 아프다면,
오늘부터라도 기초 영양 보충부터 시작해보세요.


♣ 함게 보면 좋은 글
구내염에 좋은 영양제, 병원보다 이게 낫더라(설염, 입병 완화)
구내염 치료에 병원보다 효과 좋았던 영양제 5가지, 복용 후기와 성분별 장단점까지 정리했습니다.구내염은 한 번 생기면 음식 먹기도, 말하기도 고통스럽고, 제대로 치료하지 않으면 재발까지
first.welfare-umbrella.com
반응형
